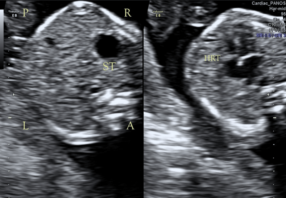
Un reciente informe de caso publicado en Cureus detalla la identificación de variantes genéticas novedosas en el gen CFAP53 en un feto diagnosticado con situs inversus totalis. El situs inversus totalis es una condición rara en la que los órganos internos están dispuestos de forma espejo a su posición normal.
Los investigadores describen el caso de un feto en el que se detectaron variantes heterocigotas compuestas en el gen CFAP53. Este gen está asociado con la función ciliar, que es crucial para el desarrollo embrionario y la determinación de la lateralidad (la disposición izquierda-derecha de los órganos).
El informe destaca la importancia de la secuenciación genética en el diagnóstico de casos raros de situs inversus totalis y otras condiciones relacionadas con la función ciliar. La identificación de estas variantes genéticas puede ayudar a comprender mejor los mecanismos subyacentes a estas condiciones y potencialmente conducir a nuevas estrategias de diagnóstico y tratamiento.
Este caso subraya la complejidad genética del desarrollo embrionario y la necesidad de una evaluación exhaustiva en casos de anomalías congénitas.
