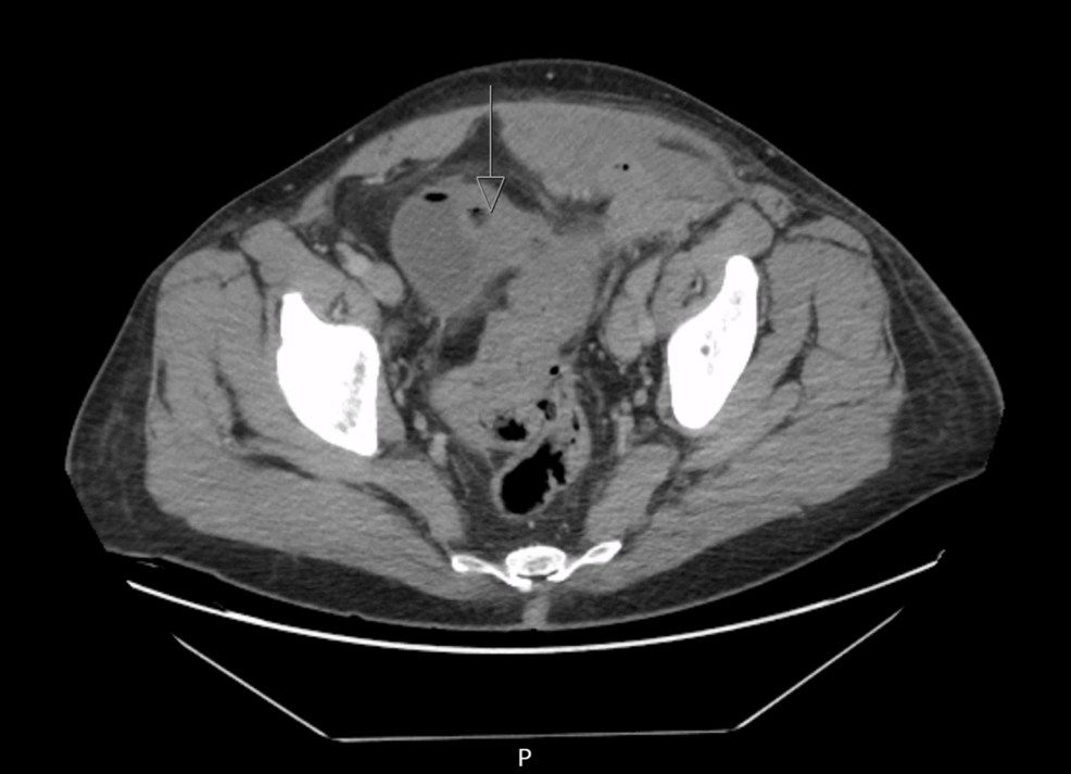
Un reciente reporte de caso publicado en Cureus detalla el tratamiento exitoso de una diverticulitis agresiva complicada con fístulas colovesicales y cutáneas mediante la realización de una colostomía para la desviación intestinal. La diverticulitis, una inflamación o infección de pequeñas bolsas que pueden formarse en el revestimiento del intestino grueso (divertículos), puede volverse severa y provocar complicaciones como estas fístulas, que son conexiones anormales entre el colon y la vejiga (colovesical) y la piel (cutánea).
El caso presentado describe a un paciente que requirió una colostomía para permitir la curación de las fístulas y controlar la inflamación. La colostomía, un procedimiento quirúrgico que crea una abertura en el abdomen para desviar el contenido intestinal, permitió que el intestino se curara y redujera la contaminación causada por las fístulas. Este enfoque quirúrgico es una opción importante en el manejo de casos complejos de diverticulitis con complicaciones graves.
El reporte de caso subraya la importancia de considerar la colostomía como una herramienta valiosa en el tratamiento de la diverticulitis agresiva con fístulas, permitiendo la resolución de complicaciones y mejorando la calidad de vida del paciente.
