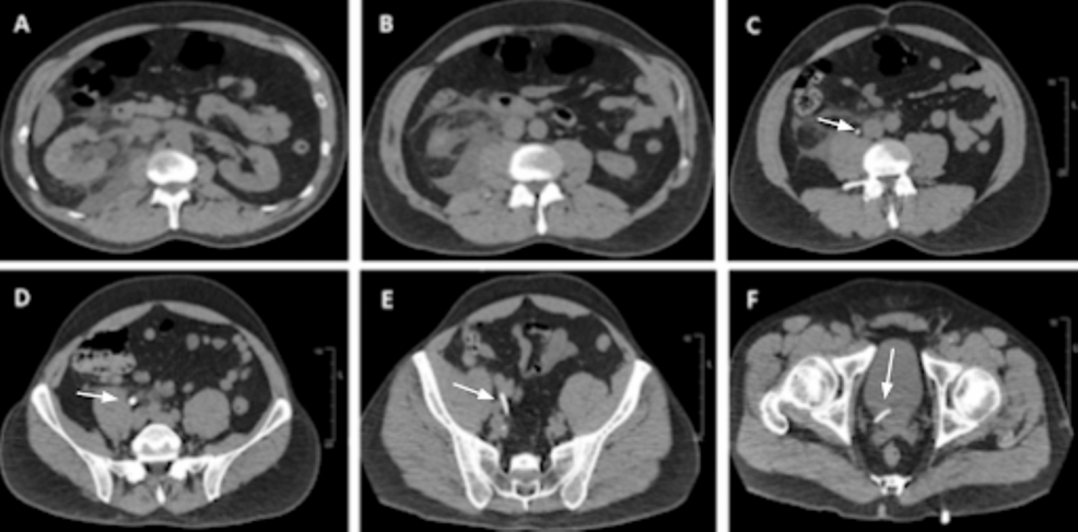
Un estudio de caso publicado en Cureus describe un incidente en el que el contraste intravenoso residual simuló la apariencia de un stent ureteral en una tomografía computarizada (TC) sin contraste en un paciente que presentaba cálculos en el uréter (ureterolitiasis). Este fenómeno puede generar confusión en la interpretación de las imágenes médicas.
En el caso presentado, un paciente con antecedentes de ureterolitiasis se sometió a una TC sin contraste. La imagen reveló una estructura lineal que inicialmente se interpretó como un stent ureteral. Sin embargo, tras una evaluación más exhaustiva, se determinó que la estructura era en realidad contraste intravenoso retenido de un estudio previo.
Este hallazgo destaca la importancia de considerar el contraste intravenoso residual como una posible causa de artefactos en las imágenes de TC sin contraste. Los radiólogos deben ser conscientes de esta posibilidad para evitar diagnósticos erróneos y garantizar una atención adecuada al paciente.
La ureterolitiasis, o presencia de cálculos en el uréter, es una condición común que puede causar dolor intenso y otros síntomas. El diagnóstico y tratamiento adecuados son esenciales para prevenir complicaciones.
