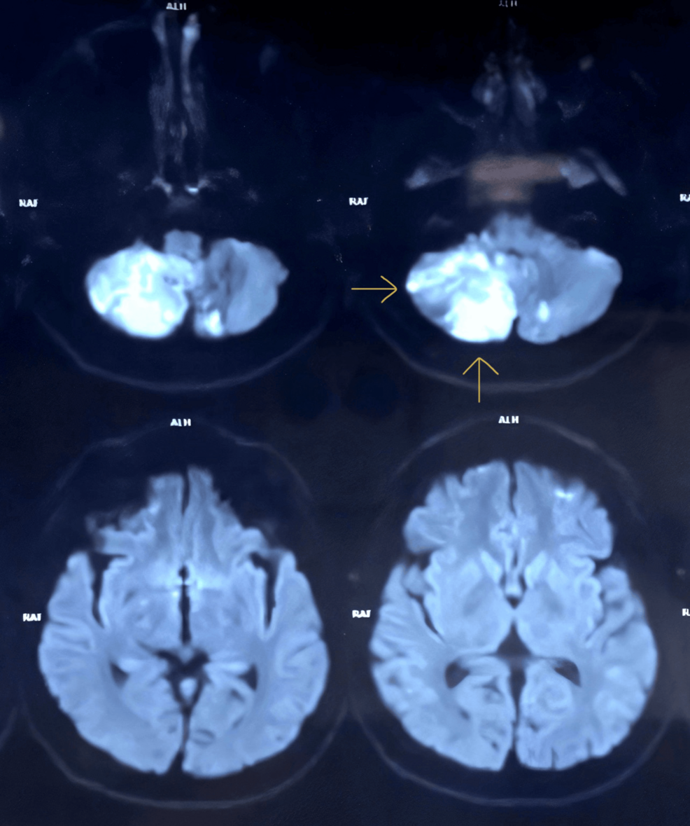
Un reciente estudio publicado en el Cureus Journal of Medical Science presenta el caso de un paciente que desarrolló encefalitis por el virus del herpes simple, acompañada de una infartos cerebelosos y necrosis laminar cortical. La encefalitis herpética es una infección grave del cerebro causada por el virus del herpes simple, y puede provocar complicaciones neurológicas significativas.
En este caso particular, el paciente experimentó no solo la inflamación del cerebro característica de la encefalitis, sino también un infarto en el cerebelo, la parte del cerebro responsable de la coordinación motora, y una necrosis laminar cortical, que implica daño a las capas externas de la corteza cerebral. Esta combinación de complicaciones es poco común y subraya la importancia de un diagnóstico y tratamiento rápidos.
El estudio detalla la presentación clínica del paciente, las pruebas diagnósticas realizadas (incluyendo resonancia magnética cerebral) y el tratamiento administrado. Aunque los detalles específicos del tratamiento no se especifican en el resumen, la encefalitis herpética generalmente se trata con medicamentos antivirales como el aciclovir.
Este caso destaca la necesidad de considerar la encefalitis herpética en pacientes que presentan síntomas neurológicos agudos, incluso en ausencia de síntomas típicos. El diagnóstico temprano y el tratamiento adecuado son cruciales para minimizar el daño neurológico y mejorar el pronóstico.
