59
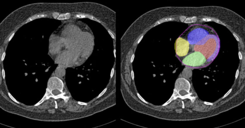
La inteligencia artificial identifica el riesgo cardiovascular en mamografías
Según información de Medscape, la inteligencia artificial (IA) es capaz de identificar el riesgo cardiovascular a través del análisis de mamografías.
