Un estudio histopatológico reciente investigó las lesiones precancerosas en la vesícula biliar de pacientes con colelitiasis (cálculos biliares). La investigación, publicada en Cureus, analizó muestras de tejido para identificar cambios celulares que podrían indicar un riesgo elevado de desarrollar cáncer de vesícula biliar.
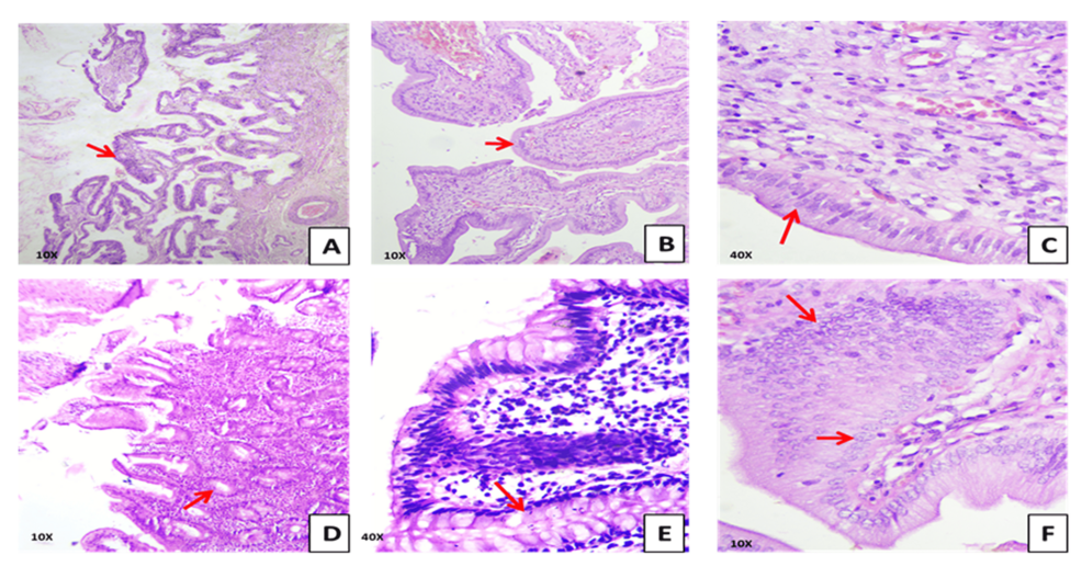
El objetivo principal del estudio fue caracterizar estas lesiones precancerosas a nivel microscópico, lo que podría ayudar a mejorar el diagnóstico temprano y el tratamiento de esta enfermedad. Los investigadores examinaron las muestras de tejido para identificar signos de displasia, que se refiere a cambios anormales en las células que no son cancerosas pero que tienen el potencial de convertirse en cáncer.
Los hallazgos del estudio podrían tener implicaciones importantes para la atención médica, ya que permitirían a los médicos identificar a los pacientes con mayor riesgo de cáncer de vesícula biliar y ofrecerles un seguimiento más cercano o intervenciones preventivas. La detección temprana es crucial para mejorar los resultados del tratamiento en el cáncer de vesícula biliar, una enfermedad que a menudo se diagnostica en etapas avanzadas.
Aunque se necesitan más investigaciones para confirmar estos hallazgos y determinar la mejor manera de implementar estas estrategias de detección temprana, este estudio representa un paso importante en la comprensión de la progresión del cáncer de vesícula biliar y en el desarrollo de enfoques más efectivos para su prevención y tratamiento.
