Un reciente reporte de caso publicado por Cureus destaca los desafíos diagnósticos de la neurocisticercosis en un país no endémico. La neurocisticercosis es una infección parasitaria causada por las larvas de la tenia del cerdo, Taenia solium, que afecta al sistema nervioso central. Aunque es prevalente en muchas partes del mundo, su diagnóstico puede ser complicado en regiones donde no es común.
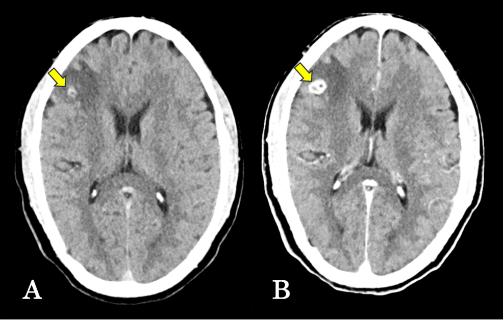
El caso presentado detalla la experiencia con un paciente que se presentó con síntomas neurológicos, lo que llevó a una evaluación exhaustiva para determinar la causa. El diagnóstico diferencial inicial consideró otras patologías más frecuentes en la región, lo que retrasó la identificación de la neurocisticercosis. Las pruebas de imagen, como la resonancia magnética (RM), fueron cruciales para detectar las lesiones características causadas por los parásitos en el cerebro.
El reporte subraya la importancia de considerar la neurocisticercosis en el diagnóstico diferencial de pacientes con síntomas neurológicos, incluso en países donde la enfermedad no es endémica, especialmente en individuos con antecedentes de viaje a áreas de riesgo o consumo de carne de cerdo poco cocida. Un diagnóstico temprano y preciso es fundamental para iniciar el tratamiento adecuado y prevenir complicaciones a largo plazo.
El estudio enfatiza la necesidad de que los profesionales de la salud estén familiarizados con las manifestaciones clínicas y radiológicas de la neurocisticercosis para mejorar la capacidad de diagnóstico y brindar una atención óptima a los pacientes afectados.
