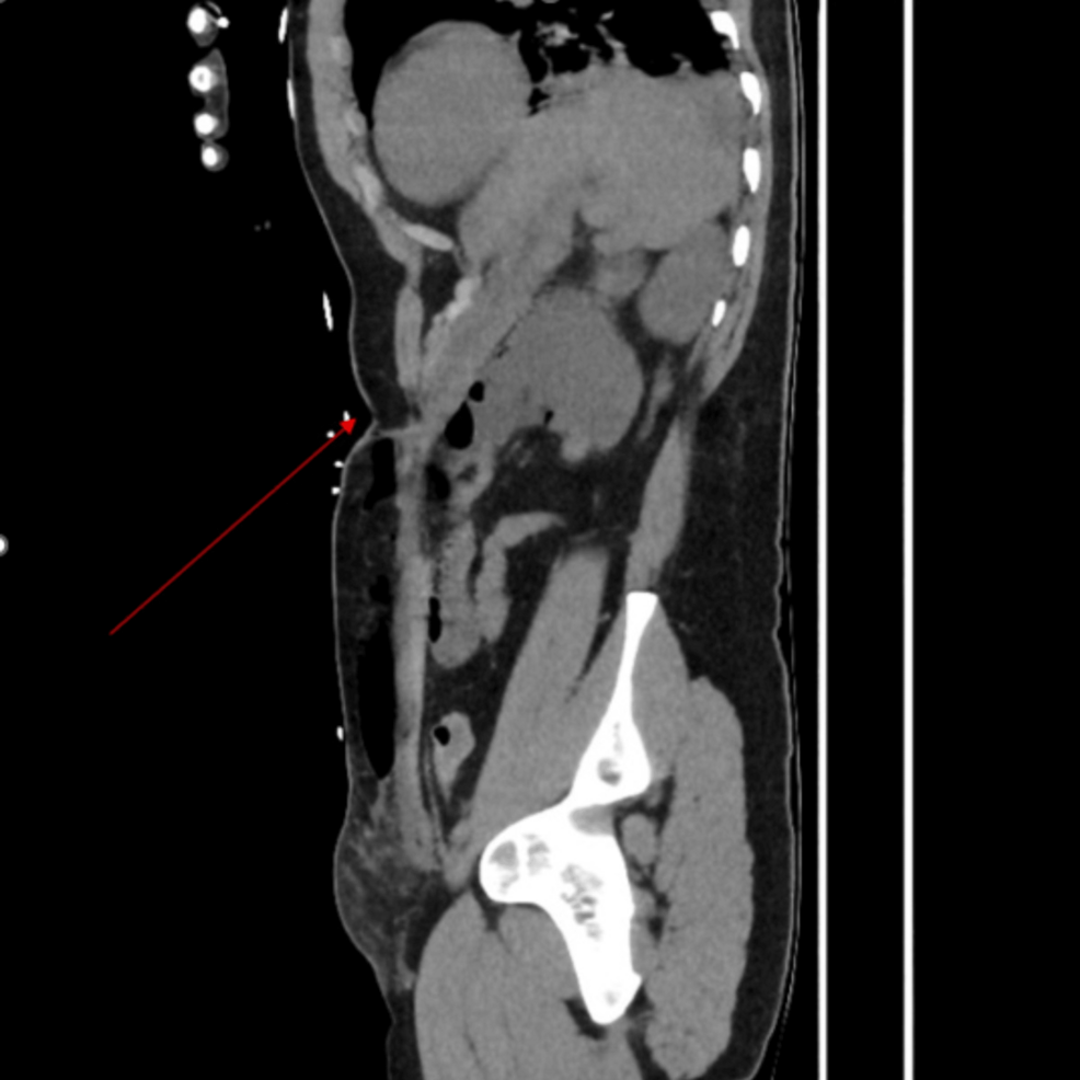
Un caso clínico reciente publicado en Cureus detalla la perforación gástrica subcutánea aguda que ocurrió en el sitio de una gastrostomía endoscópica percutánea (PEG) previa. La complicación se presentó en un paciente sin historial reciente de manipulación o trauma en el área de la PEG.
La gastrostomía endoscópica percutánea (PEG) es un procedimiento común utilizado para proporcionar alimentación a largo plazo a pacientes que no pueden alimentarse por vía oral. Si bien generalmente es seguro, existen complicaciones potenciales, incluyendo la perforación gástrica. Este caso destaca la posibilidad de una perforación gástrica aguda, incluso en ausencia de eventos traumáticos recientes.
El informe del caso presentado en Cureus proporciona información valiosa sobre la presentación y el manejo de esta rara complicación. La identificación temprana y el tratamiento adecuado son cruciales para evitar consecuencias graves para el paciente.
