Un reciente caso clínico publicado en Cureus detalla una complicación grave de la pielonefritis enfisematosa causada por la bacteria Klebsiella pneumoniae. El informe describe a un paciente que desarrolló múltiples abscesos metastásicos y un paro respiratorio transitorio como resultado de la infección.
La pielonefritis enfisematosa es una infección renal grave, caracterizada por la presencia de gas en el tejido renal y alrededor del riñón. Klebsiella pneumoniae, particularmente las cepas hipervirulentas, se ha identificado como un patógeno importante asociado a esta condición, especialmente en comunidades de Australia, según se indica en un artículo del Medical Journal of Australia.
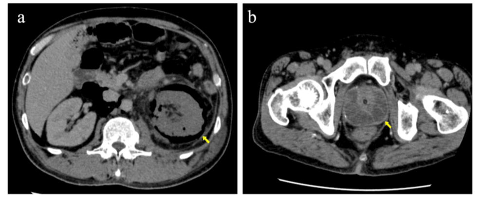
El caso reportado por Cureus ilustra la capacidad de la infección por Klebsiella pneumoniae para manifestarse de manera inusual, incluso imitando lesiones metastásicas, lo que puede complicar el diagnóstico inicial.
El informe subraya la importancia de un diagnóstico rápido y un tratamiento adecuado para las infecciones por Klebsiella pneumoniae, especialmente en casos de pielonefritis enfisematosa, debido al potencial de complicaciones graves y potencialmente mortales.
