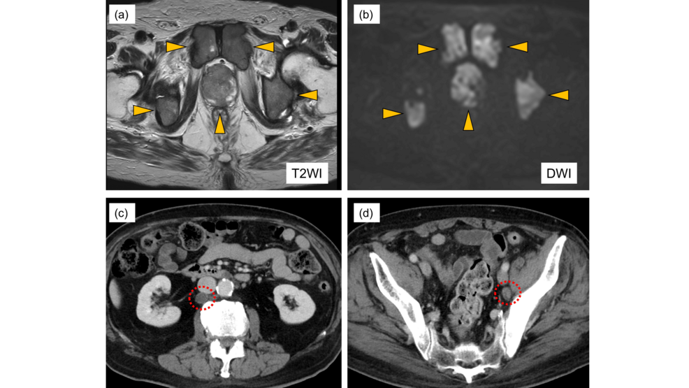
El antígeno prostático específico (PSA) es fundamental en la detección del cáncer de próstata (CP); sin embargo, los niveles de PSA en suero pueden permanecer engañosamente bajos en…
PSA y Cáncer de Próstata: Detección Temprana
80
El antígeno prostático específico (PSA) es fundamental en la detección del cáncer de próstata (CP); sin embargo, los niveles de PSA en suero pueden permanecer engañosamente bajos en…
Elena Ríos coordina la sección de Salud en Notiulti, especializada en temas de medicina, bienestar y salud pública. Prioriza fuentes oficiales y estudios científicos para ofrecer información clara, responsable y comprensible.
