52
Toxicidad por Bupropión con Presentación Similar al Síndrome de Abstinencia Alcohólica: Reporte de Caso
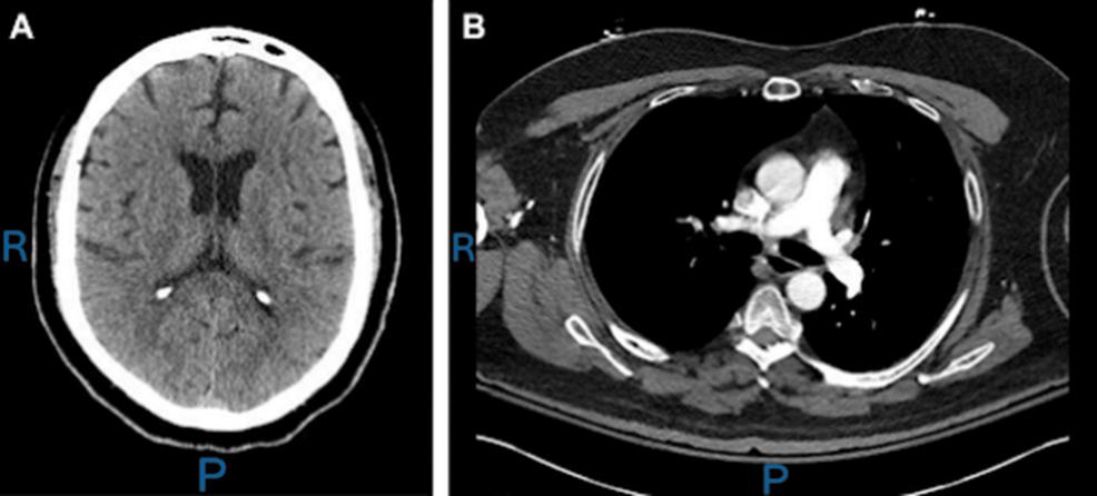
Un reporte de caso publicado por Cureus describe un escenario clínico donde la toxicidad por bupropión se manifestó con síntomas similares a los del síndrome de abstinencia alcohólica.
