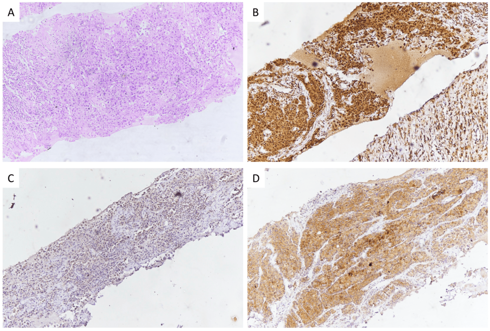
Una investigación publicada en Cureus evalúa la relación entre la expresión de tres biomarcadores – Ligando de Muerte Programada-1 (PD-L1) clon 22C3, Kinasa de Linfoma Anaplásico (ALK) D5F3, y Oncogén 1 de C-ros (OT11A1) – en pacientes con adenocarcinoma de pulmón. El estudio busca comprender mejor cómo la expresión de estos marcadores se correlaciona en este tipo de cáncer.
La investigación se centra en analizar la posible interdependencia entre PD-L1, ALK y OT11A1, factores que podrían influir en la respuesta a terapias dirigidas y en la progresión de la enfermedad. La identificación de patrones de expresión combinados podría ser crucial para personalizar el tratamiento del adenocarcinoma de pulmón, optimizando así los resultados clínicos.
Aunque los detalles específicos de la metodología y los resultados cuantitativos no se detallan en la fuente proporcionada, el estudio sugiere un enfoque en la caracterización molecular del adenocarcinoma de pulmón para mejorar las estrategias de diagnóstico y tratamiento.
