58
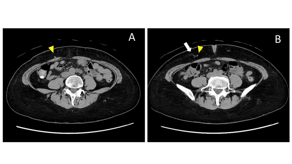
Se ha publicado en la revista Cureus un caso clínico que analiza el Síndrome de Atrapamiento del Nervio Cutáneo Anterior asociado a la menopausia.
Este informe médico pone de relieve la patología del microambiente perineural en relación con este síndrome, aportando información sobre la incidencia de esta condición en el contexto de la menopausia.
